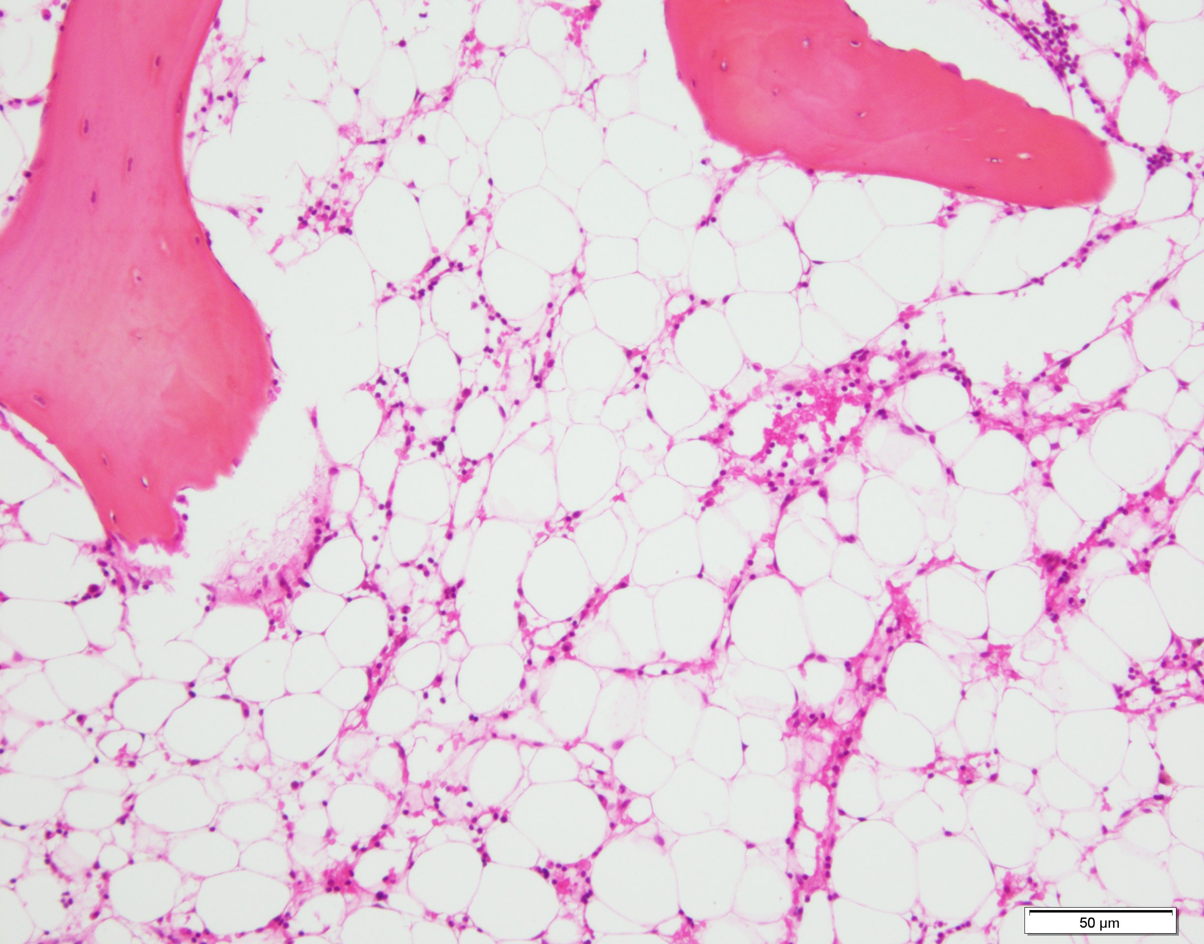
Aplasie médullaire : tout ce que vous devez savoir - Améliore ta Santé Il s'agit d'affections pouvant entraîner des séquelles fonctionnelles d'organes ou de fonction liées à la maladie elle-même ou à la thérapeutique. L... Aplasie Médullaire L’ Acquise Sévère Et L’hépatite Auto-immune Un Niveau De Malade Pdf Gratuit L'aplasie médullaire est une maladie du sang rare, causée par un syndrome d'insuffisance de la moelle osseuse. Une moelle osseuse saine produit des cellules... Le centre de référence des aplasies médullaires acquises et constitutionnelles coordonné par le Pr Régis Peffault de Latour, chef du service d’hématologie greffe de moelle de l’hôpital Saint-Louis AP-HP et Professeur à Université de Paris, a évalué, dans le cadre d’une étude collaborative internationale, un nouveau traitement immunosuppresseur plus efficace dans le traitement de l’aplasie […]